一宮市で人気の歯医者|前岡歯科医院

コンセプト

一宮市の歯医者|前岡歯科医院は、

「歯を残す」最後の砦

一宮市の歯医者|前岡歯科医院は、他院で諦められてしまった30代以上の患者さんの歯を全力で残すことを使命にしています。

  • 見た目のために歯を削って被せ物を入れるようなことはしたくない方
  • 条件の悪い歯を抜いてインプラントにするのではなく、可能な限り自分の歯を残して機能させたいと願う方
  • ただ治療を受けるのではなく、自分の歯を死ぬまで使うための方法を知りたい方
  • 子供が小さい頃は自分に時間をかけられなかったけど、そろそろしっかりと自分のお口の健康を考えたいと願う方
  • 流れ作業のような治療ではなく、しっかりと時間をかけて丁寧な治療を受けたい方
  • 歯科医師に押し付けられる治療ではなく、数ある治療法から自分に合ったものを相談しながらじっくり決めていきたい方
  • できる限りやり直しの少ない治療を受けたい方

そんな方にはピッタリの歯医者です。

反対に下記のような方にはあまり受診をお勧めしていません。

  • とにかく早く治療を終わらせて欲しい方
  • 残せなさそうな歯は早く抜いてインプラントで治療をしたい方
  • 治療方針は“歯医者に全てお任せ”にしたい方
  • 芸能人のような白い歯を手に入れたい方
  • 保険治療以外は受けたくないという方

もし当てはまるものがある場合は、他院に受診していただく方がご希望に沿った治療を受けていただけると思いますし、貴重な時間を無駄にせずスムーズに治療が終わるはずです。

一宮市の歯医者|前岡歯科医院は、

院長が全ての治療を行います

一宮市の歯医者|前岡歯科医院は、一宮市で唯一、院長が最初から最後まで一貫して治療を行う歯医者でもあります。

通常、歯科衛生士が行う歯磨きの指導や普段のお口のケアについての説明、歯石の除去はもちろん、治療内容の説明から治療方法の解説、治療後のメインテナンスまで、あなたのお口の中の情報を全て把握する院長が治療を行います。

そのため、「担当医がコロコロ変わって、説明内容が毎回変わる…」、「歯科衛生士さんが治療内容を把握していない…」などといった心配はなく、安心して通っていただくことができます。

一宮市の歯医者|前岡歯科医院は、

“治療をするだけ”ではない

一宮市の歯医者|前岡歯科医院の最大の特徴は、「ただ治療をするだけではない」ということです。

患者さんがお口の病気を抱える時、そこには必ず原因が存在しています。

例えば、勉強で成績が上がらない時には勉強法や勉強をする環境に原因があるはずですし、太ってしまった時には、太る原因になった食生活であったり、運動不足や筋肉の減少が原因になっているはずです。

同じようにお口の病気も偶然起こるものではなく、あなたの生活の中にある「習慣」が大きな原因になっています。

そのため、「ただ治療を受けるだけ」では病気の原因は解決せず、表面上の問題を解決しただけの「“かりそめ”の健康」しか手に入れられません。

あなたが、あなたの歯を、少しでも長く健康に使っていくために必要なことは、「なぜ今のお口の状態になってしまったのか」を知り、「自分が抱える病気の原因をどのように改善していくのか」を考えることなのです。

一般的に困っていること(症状)に対しての治療は「対症療法」と呼び、困っていることの原因を解決する治療のことを「原因除去療法」と呼びます。

ほとんどの歯医者では、「患者さんの困っていることを解決して終わりの治療(対症療法)」です。

しかし、前岡歯科医院では「患者さんが困っていることを解決するのは当たり前、その原因になっている習慣にもアプローチすることで再び病気にならない環境を一緒に作っていく治療(原因除去療法)」をベースにしています。

一宮市の歯医者|前岡歯科医院は、

“お口の健康”を再定義します

もちろん、原因除去療法は「歯医者にやってもらうもの」ではなく、「あなた自身が自分のカラダと、自分の習慣と向き合い、改善していくこと」が必要不可欠です。

一朝一夕では出来ないこともあります。

努力が必要なこともあります。

ただ、「歯医者にやってもらうだけの歯科治療」の先には、死ぬまで自分の歯で健康に、快適に生活できる未来は待っていません。

本気で治療に向き合う覚悟と、歯を残すためにこれまでの自分を変えていく姿勢が、お口の健康を手に入れるためには必要不可欠なのです。

そして、これは歯に限ったことではありませんが、「“健康”とはあなた自身が手に入れるもの」です。

医者が与えてくれるものではありません。

表現は悪くなりますが、むしろ医者にとって患者さんの“病気”は生活の糧です。

あなた自身も病院へかかった際、治療を受けたり、薬を出された経験はあっても、「病気の原因」と「その解決法」を教えてもらったことはほとんどないのではないでしょうか?

その事実こそ、日本の医療がまだまだ「病気にかかった患者ありき」の構造になっていることを象徴しています。

しかし、人生100年時代を迎えた現代、「病気になったら医者に行く」ではなく、「自分のカラダは自分で管理する」ことこそ、治療のゴールであり、新たなスタートです。

一宮市の歯医者|前岡歯科医院では、その目標を達成するために必要な知識を、テクニックを、通院する全ての患者さんに学んでいただきたいと考えています。

一宮市の歯医者|前岡歯科医院では、

総合的な治療を提供します

一宮市の歯医者|前岡歯科医院では、単に虫歯や歯周病の治療を行うのではなく、お口の中全体の環境を考えた総合的な治療を提供しています。

実際の診療では、部分的な治療だけでは快適なお口の環境に回復できない状況がほとんどです。

そのため、患者さんの主訴(一番気になっている箇所)以外にも、プロの目で見て改善が必要な箇所を積極的に提案し、治療を進めていきます。

一宮市の歯医者|前岡歯科医院では、保険治療の範囲では対応が難しい場合、マイクロスコープ(歯科用顕微鏡)を用いた神経の処置や部分矯正、歯の移植、インプラントといった様々な治療法を用いていきます。

「もう残せない」と言われた歯であっても、試す価値のある治療法は多く存在しています。

是非、抜歯を決断する前にご相談ください。

患者さんにとっての最後の砦になるために、前岡歯科医院は様々な勉強会、スタディーグループでの研鑽を通し、日々進化を続けていきます。

ある歯科医師の物語

「知識なし・経験なし」で開業した、
ある歯科医師の物語

はじめまして。

愛知県一宮市の歯医者、前岡歯科医院の院長をしております、前岡遼馬です。

このページでは、最年少で開業した僕の過去、現在の軌跡についてお話していきたいと思います。

自分でもかなり珍しい経歴だと思いますし、恥ずかしい部分も多々ありますが、包み隠さずお伝えしていきますので、是非最後まで読んでみてください。

なぜ「なりたい職業ランキング」圏外の
歯医者を
目指すようになったのか?

毎年日本の小学生に対して行われる、なりたい職業ランキング調査。

そのTOP10には間違いなく入ることが出来ない職業が「歯医者」です。

「そんな職業をなぜ目指したのか?」、先ずはここからお話したいと思います。

テレビでは医学生に対して「なぜお医者さんを目指されたんですか?」と質問するシーンで、「小さい頃に命を救ってもらったから、私も医者になって患者さんの命を救いたいと思ったんです。」という感動的なエピソードが返ってくるのをよく目にします。

が、残念なことに僕にはそんなカッコいいエピソードはありません。

小学校、中学校、高校と特にやりたい仕事が見つかることもなく、漠然と生きていました。

ただ何となく、父(歯医者)が毎日真摯に仕事に取り組む姿勢に「カッコいいな!」とは感じていました。

どれだけ仕事が忙しくても、家族にイライラした姿を見せたことは一度もありません。

ほぼ毎週末、勉強会や学会などに出席していても、家族との時間を大切にしてくれる姿に「理想の父親」って多分こういう人のことを言うんだろうなと思っていました。

実際小さい頃に、「父親と一緒にいる時間が少ない」とは微塵も思いませんでした。

「将来の進路はどうするのがいいかな?」と父に相談した際も「自分がやりたいと思えることをやればいいさ。歯医者になる必要もないし、家も継ぐ必要はないから。」とにこやかに言っていた記憶があります。

今思えば親として「同じ仕事に就いて欲しい」とか「家業を継いで欲しい」など色々思うことはあったと思いますが、僕の意志を尊重してくれた姿に懐(ふところ)の広さを改めて感じました。

結局僕は、「どうせやりたいこともないんだから、自分が憧れる人と同じ職業にしよう!」と父と同じ歯科医師を目指すことにしたわけです。

人生のターニングポイントは
最愛の人の死

「歯医者になる」と決めたのはいいのもの、頭の悪かった僕は大学に入るまでに他の人の2倍は勉強しなければいけないほど苦労はしましたが、何とか歯科医師免許を取ることが出来ました。

卒業後に選んだ研修先は歯科口腔外科。

親知らずなどの難しい抜歯やガンの手術といった外科処置を専門に行う科です(一般的な歯科治療はあまり行わない)。

僕の人生が大きく変わったのは研修期間がちょうど半分を過ぎようとした頃です。

父が、亡くなったんです。

身を粉にして仕事に取り組んできた父はステージⅣの末期ガンになっていました。

最終ステージまで進行している状態で発見され、僕が研修先(北海道)から実家(愛知県)に駆けつけた時には脊髄への転移で下半身不随の状態。

コミュニケーションもままならないほど、ガンが父の体を蝕(むしば)んでいました。

それから10日間ほど一緒にいる時間がありましたが、父から歯科医療について教えてもらう機会は一度もないまま別れを告げることになりました。

その後、人生で一番尊敬していた人の死を悼(いた)む中、実家の歯科医院を閉院する手続きに追われました(法律上、研修医が終わらなければ医院の管理者にはなれない)。

通院されていた全ての患者さんに対して手紙を書き、治療が途中になってしまったことをお詫びして然るべき歯科医院を紹介させて頂きました。

そして、今後の進路についても考えなければいけないと思っている中、一人の衛生士さんが実家に訪ねて来てくれました。

「知識なし、経験なし」での
開業のきっかけ

ある衛生士さんとは前岡歯科院で長年勤めてきた方でした。

「遼馬先生(僕)にこれだけは伝えておかなければいけないと思って…」とわざわざ家まで来てくれたんです。

衛生士さんは

先生は今研修医なので前岡歯科院を閉院しなければいけないのはよく分かっています。

研修医が終わってからもしばらく修行をしてから戻って来たいという気持ちも理解しているつもりです。

でも、それではお父さんの遺志を伝えることが出来ないと思って今日会いに来ました。

お父さんのやっていた歯科治療は日本でも5本の指に入るレベルのものです。

もし、先生が5年〜10年、修行してから開業されたとき、今の患者さんが戻って来たとしても、他院での治療を受けた後になってしまう可能性が高いと思います。

それでは、本当の意味でお父さんがやった治療の跡を見ることは出来ません。

でも、研修医が終わってからすぐに開業すれば、多くの患者さんに戻ってきてもらえると思いますし、その方々のお口を通して“本当の歯科治療がどんなものか”、見てもらえると思うんです。

今の研修先は口腔外科だと聞いているので、一般歯科が分からないのもよく分かります。

ただ、私たちがサポートするので一緒に前岡歯科医院を再開してもらえませんか?

メインテナンスの患者さんだけの診療でも構いません。一度考えてみて下さい。

と涙ながらに伝えてくれました。

正直、思いも寄らなかった言葉でした。

父が仕事に全力で向き合っていたのは僕も分かっていましたし、「プロ意識を持った人間」というのはこういう人のことを言うんだろうなとは何となく感じていました。

でも僕は歯科医師になってから父が治療しているのを直接見たことはなかったし、他の先生の一般的な歯科治療も見たことがなかったので、“父がどれだけすごい歯科医師なのか”全く知りませんでした。

ただ、「一緒に働いていた衛生士さんにここまでの想いを抱かせられるだけの仕事をしていた」と、この時初めて教えてもらったんです。

当時は「何がいい治療で何が悪い治療なのか」も全く分かっていませんでしたが、衛生士さんの熱意に押されて研修医が終わり次第、前岡歯科医医院を再開することに決めました。

本当の歯科医療に出会った、
歯科医師2年目

研修医が終わった4月から2ヶ月間、多くの方に助けて頂きながら開業の準備をしました。

父と親交のあった先生に一般歯科の基礎を教えていただいたり、業者さんに手伝って頂きながら医院の開業に向けて法律上の手続きも進めたりと、やらなければいけないことが山積みでした。

ドダバタな毎日でしたが、何とか6月に新生・前岡歯科医院の院長として新たなスタートを切ることになりました。

元々勤めていた衛生士さんにパートという形で戻って来てもらい、色々と教えて頂きながらメインテナンスの患者さんを中心に診療を再開。

もちろん、当時は知識も経験もなかったので、週5日の診療はとても無理で、"週1〜2日のみ前岡歯科医院で院長、残りの5〜6日間は自分の医院を休診して他院で勉強する勤務医"のような状況でした。
(現在は完全に独立して週5日、前岡歯科医院での診療を行っています)
「いつ軌道に乗るのか、いつ一人前になれるのか」といった不安まみれの毎日でしたが、そんな中で得られた大きな経験があります。

それは父の治療を患者さんのお口を通して体感出来たこと。

基本に忠実に、1本1本の歯に対して一切の妥協がない徹底した治療。

治療終了から20年、30年と何の問題もなく経過している予後の良さ。

そして何よりも、虫歯や歯周病の原因に対して根本的にアプローチする歯科医師としての姿勢が印象的でした。

今、そしてこれからも
父と一緒に目指していく歯医者の形

昔から前岡歯科医院に通われている患者さんは口を揃えて言います。

「お父さんは厳しかったよ」と。

話を伺うと、プラークコントロール(歯磨き)をはじめとした習慣が改善されなければ治療をしてもらえなかったそうです。

僕は「確かにそうだよな。」とこの時改めて思いました。

結局、歯医者に来る以上、お口の中に虫歯や歯周病の原因が必ずあります。

その根本的な部分にアプローチせずに治療をスタートしても、将来ほぼ間違いなく歯を失うことになるので、治療をすることに大きな意味はありません。

どれだけキレイな見た目に仕上げたとしても、5年も経てば必ずまたトラブルが起こるでしょう。

治療終了から20年、30年と何の問題もなく歯を使っていくためには、本人がそれまでの習慣を変え、1本1本の歯を自分の手で大切に管理しなければいけません。

どれだけ技術の高い歯科医師が治療したとしても所詮は対症療法。
(原因に対してではなく、起こっている症状に対して行う治療が対症療法)

本当に大切なことは、「患者さん自身が歯の価値に気づき、普段から歯を大切に管理できるかどうか」だと思います。

僕ら歯医者をはじめとした歯科医療従事者には、それを全力で伝えていく責任があると考えています。

そして患者さんに求めるものがある以上、僕らも常に進化し続けなければいけません。

「歯を残したい」という想いに全力で応えるために。

幸い、僕には父の治療を伝えてくれる患者さんがたくさんいます。

そして、お口の中を通して父がいつも教えてくれます。「1本の歯に魂を込めろ!」と。

父の治療と他の先生がやられた治療は一目見た瞬間に分かります。

それくらい同じ「歯医者」であっても違うものです。

どんなに小さな治療でも「目の前の歯を救いたい」という想いがひしひしと伝わってきます。

もちろん、その治療がプレッシャーになることもたくさんあります。

ただ、明確な目標があるからこそ、一切の妥協をせずに毎日患者さんと向き合えているのだと思いますし、「今、自分にしか出来ない仕事をしている」と自信を持って診療に臨めている気がします。

決して一人ぼっちではなかった

開業当初から今まで、前岡歯科医院に在籍するドクターは僕一人です。

治療内容の最終決定は僕がしなければいけませんし、経理の面も管理しなければいけません。

トラブルが発生しても誰かにアドバイスを求めることも出来ません。

そのため常に頭はフル回転。

「一人で何とかしなければ!」と自分を奮い立たせながら日々診療を行っていました。

ただそれと同時に「いつも一人ぼっちだな」と孤独を感じてもいました。

「父がそばにいたらな…」、何度そう思ったかわかりません。

でも、ある患者さんの一言でその思いから解放されることになりました。

その方は霊感の強い方だったのですが、治療中に僕の方をふと見つめて言いました。

「お父さんが先生の後ろにいますよ。口の触り方や話し方もお父さんにそっくり。きっといつも一緒に治療してるんですよ!」

その言葉に目頭が熱くなりました。

他の方にも同じようなことを言って頂く機会が何度かあり、今は確信があります。

「父はいつもそばにいる。決して一人じゃない。」

そして、それまで勝手に孤独を感じていたことにも気づかされました。

父と親交のあった先生方もお会いできた時には色々と気遣って下さいます。

「僕以上に恵まれた環境で歯科医師をできる若手はいない」

次第にそう思えるようになっていきました。

経営者としての
責任の重さを知った地獄の日々

開業してから1年ほどが経ち、未熟ながらも少しずつ歯科治療にも慣れてきた頃、それまでの週1〜2日の診療から週5日(通常の歯科医院と同様の診療日数)に変えていこうという話になりました。

しかし、ここで大きな問題が立ちはだかりました。

“新患がほとんどいない"という状況です。

一般的な歯科医院の開業とは異なり、前岡歯科医院の再開の際には内覧会などの“歯科医院がオープンしたことを周知するイベント”は一切行いませんでした。

「下手に内覧会などを行って新たな患者さんにたくさん来ていただいても、未熟な僕が治療をすることになるから申し訳ない。」

という想いがあったからです。

そのため、新規の患者さんはほとんど来院されず、医院の収益は“既存の患者さん(父の代からメインテナンスで通院していらっしゃる患者さん)”だけで成り立っていました。

その状況下で診療日を週5日に増やしてしまうと、衛生士さん2人のお給料などの固定費だけが倍増し、入る収益は横ばいのまま。

経営者としての知識・経験もない中ではありましたが、どう計算しても僕の毎月の給料が「マイナス5000円」という、よく分からない経営状態になってしまいました。

そこで何度も衛生士さん2人と話し合いを行いましたが、当然衛生士さんも経営に関しては素人。

明確な答えは全く出ないまま、平行線を辿って1ヶ月近くが経ってしまいました。

“派手に広告を出して患者さんを集め、僕が未熟な技術でゴリゴリ治療をする”

という選択肢もありましたが、

“収益を上げるためには、対症療法を優先させなければいけなくなる。でもそれでは患者さんが病気になった原因は取り除けないし、父が僕に引継ぎたかったような前岡歯科医院ではなくなってしまう。”

という想いから、経営重視に舵を切ることはできませんでした。

歯医者を本気で辞めたいと思った
苦渋の決断

日々歯科治療とは関係のない“経営”という大きな悩みを抱える中で、僕のモチベーションは極端に低下していきました。

経営的には、衛生士さんを解雇する以外の選択肢は残されていなかったのですが、父とこれまでずっと一緒に働いてきた2人を辞めさせることは、とてつもない抵抗がありました。

前岡歯科医院が再開できたことも、衛生士さんあってのことです。

そして、父が病床に伏す中で僕に言った言葉の中にも、

「何も残してあげることは出来なかったけど、2人の衛生士だけは大切にして欲しい。うちの宝だから。」

というメッセージがありました。

(自分が最も尊敬する人の遺言を無下にして良いのか…。)

(でも、このまま前岡歯科医院を続けていって閉院(倒産)になってしまっても良いのか…。)

様々な想いが頭の中を巡って、精神的にも病んでいきました。

そんな中、父とも親交のあった一人の先生が僕に電話をかけてきてくださったのです。

「遼馬先生、悩む気持ちは本当に良く分かるよ。
お父さんの元で育ってきた衛生士さんは“日本の宝”と言っても良い人材だと思う。
でも、お父さんにとっての宝が、“今の”遼馬先生にとっても宝かどうかは分からないよ。
例え今辞めてもらっても二度と一緒に働けないわけではないし、このまま先生が無理に経営重視の治療をやっていく方が、よっぽどお父さんは悲しむんじゃないかな。」

と。

この言葉で僕は決断しました。

「今の僕には2人の衛生士さんと一緒に働けるだけの歯科医師としての技術も、経営者としての手腕もない。
でも、帰ってきてくださった患者さん達のためにも再び閉院することは出来ない。
だから、断腸の想いで2人には辞めてもらう。
そして、いつか僕が成長した時に機会があれば、また一緒に働ける環境を作っていこう。」

その後、僕が悩んできたこと、これからどうしていきたいかを時間をかけて衛生士さんに説明した上で、2人には辞めてもらうことになりました。

スタッフがたった2人の歯科医院
だからこそ提供できる
「時間をかけて歯を残す治療」

激動の時期を経て衛生士さんに辞めてもらってからというもの、前岡歯科医院は僕と受付の2人だけで診療を行っています。

「スタッフがたった2人しかいないの!?」

とよく驚かれますが、診療には全く影響はありません。

むしろ、人件費がかからないことで無駄に歯を削って治療費を稼ぐこともなくなりますし、経営的になかなか出来ないような時間をかけた丁寧な治療が可能になっています。

また、一般的な歯科医院であれば、“衛生士が行う歯磨きの指導や歯石取りといった治療”と“歯科医師が行う神経の治療や被せ物を入れたりする治療”は分かれており、双方が綿密にコミュニケーションを取らなければ一貫した治療はできません。

しかし、前岡歯科医院では、僕自身が全ての治療を担当することになるので、情報の伝達ミスなどは起こりません。

また、患者さんからも、「担当スタッフがコロコロ変わることがないから、安心して治療を受けられる」という声をいただいています。

スタッフも、医院の規模もこじんまりとしていますが、自分が目指したい歯科医療を何不自由なく提供できる環境が、今の前岡歯科医院にはあると自負しています。

あなたにも父が実践していた歯科医療、そして、僕が次世代として提供していきたい歯科医療の形を、是非、前岡歯科医院で体感していただきたいと心から願っています。

ほとんどの歯医者が
言わない本音と
本当に受けたい治療とは?

このページでは、ほとんどの歯医者が決して口に出すことはない、「歯科医療の真実」と「僕自身が受けたいと思う治療」についてお話したいと思います。

歯を残す専門家としての本音を包み隠さずお伝えしていきますので、是非最後まで読んでみてください。

最高の医療は
“治療を受けないこと”

歯科医師の僕が言うのもおかしな内容ではありますが、

「歯の寿命が最も伸びるのは、
一生歯医者の治療を受けずに過ごすこと」

です。

これはどんな医療においても言えることではありますが、100人の医師がいれば、全員の診断が一致することはありませんし、治療方法もバラバラになります。

また、そこに患者さん個別の免疫力や生活背景などの複雑な要素が絡んでこれば、全く同じ診断・治療は2つとないことになります。

そして、歯科は医科と異なり、自然には治らない組織を相手にしています。

歯は一度削ってしまうと元通りにはなりませんし、被せ物や詰め物を入れるにしても所詮は人工物でしかないので、術者(歯医者)の知識・経験・技術・倫理観、その日の体調などの影響を大きく受けます。

そして、歯科治療は歯医者1人だけで治療が完結することは先ずありません。

歯を削ったり、型採りをするところまでは歯医者がやっていても、その型採りに石膏(歯の模型になる材料)を注いだり、模型を基に被せ物や入れ歯などを作るのも別々の人が関与しています。

多くの人が関与するということは、治療のステップステップで人による小さなミスやエラーが積み重なりやすいということです。

また、そもそも論ではありますが、人のカラダに対して人工物を入れる行為に「完璧」は存在しません。

人が生まれながらに持っている組織と人工物は根本的に違うからです。

詳しく説明してしまうとさらに長くなってしまうので割愛しますが、実際の患者さんを診ていても、「何の治療も受けていない天然の歯」と「既に治療を受けたことのある歯」を比べるとほぼ100%、後者の方がトラブルが起こりやすいのです。

だからこそ、歯を本気で残したいと願うなら、

「今ある健康な歯を歯医者に触らせないように(病気にならないように)大切に管理していくこと」

が最も大切です。

“積極的な治療”は二の次、三の次

もちろん、治療が必要な状態になってしまった歯に対しては、時間と手間をかけて精度の高い治療を行わなければいけませんが、それ以前にやらなければいけないことがあります。

それは、

「原因を取り除くこと」

です。

先程、歯科と医科の治り方の違いを挙げましたが、病気の原因についても大きく異なります。

医科の多くの病気では、様々な要因が複雑に絡み合っているために「これが原因だ!」と特定できないことがほとんどです。

そして、原因不明の病気も多いため、早期発見・早期治療が効果的になってくるわけです。

しかし、歯科の場合、原因は明確なことが多く、癌を除けばほとんどの病気で根本的な原因の除去が可能になります。

だからこそ、このページを読んでいただけているあなたには、「そもそも歯の病気にならないための正しい知識」を身につけてもらいたいと思っています。

むしろ、そこが達成できなければいくら高額な治療を受けたところで、ほぼ確実に再び治療が必要な状態になってしまいます。

どれだけ歯医者が頑張ったところで、所詮は失われた組織を人工物で補う治療でしかありません。

本来であれば、あなたが持って生まれた歯を一生歯医者に手を付けられることなく、大切に使っていくことが歯を残す上でも、時間とお金を節約する意味でもベストなのです。

歯医者は
“あなたが病気に
なればなるほど儲かる”
という事実

僕は普段から患者さんに対して、「あなた自身が自分の歯をどう管理するかが一番大切です。正しい管理さえできていれば、僕に触られなくて済みますから。」とお伝えしています。

ただ、悲しいかな、歯医者は患者さんの歯を削ってナンボ、被せ物を入れてナンボ、です。

もちろん、治療が必要な歯に対してはしかるべき処置をしなければいけませんが、現在の医療制度では最も歯を残すために価値がある、「病気の原因を見つけ、それを患者さんと一緒に取り除いていくプロセス」には一切の報酬が発生しません。

そのため、ほとんどの歯医者では、“歯を削る”、“歯石を取る”、“被せ物を入れる”などの報酬が発生する治療に時間をかけることはあっても、病気の原因は放置されてしまうことが多いのです。

医療はボランティアではなく医療サービスというビジネスの一形態を取っている以上、致し方ない部分ではありますが、患者さんが病気になればなるほど儲かり、患者さんが病気にならないように正しい知識と技術を伝えるほどに収益が上がらないのです。

そんな背景があるからこそ、歯を失った原因が全く取り除かれていないお口の中に対して、インプラントを次々に打っていくだけの治療が行われている場合もあります。

ただ、残念ながらそんな治療をいくら受けたところで健康なお口の環境を手に入れることは出来ないのです。

本当の健康とは、医者に薬を出してもらったり、治療を受けたりすることで手に入れられるような「誰かに与えられるもの」ではなく、健康になりたいと願う人が「自らの手で掴み取るもの」です。

そのためには、今までの生活習慣を振り返り、少しずつ自分を変えていくというプロセスが必要不可欠です。

確かに短期的に見れば面倒なことも多いと思います。努力も必要だと思います。

しかし、その結果に得られるのは、「残りの人生すべてに渡って、自分の手で自分のカラダを健康に保つことが出来る」という素晴らしいものです。

定期的に病気になって、自分の時間を削って病院に通い、怖い思いや痛い思いをしながら治療を受ける生活から解放されることがいかに価値があることかを是非、想像してみてください。

きっとワクワクしてくるはずです。

そんなきっかけを一宮市の歯医者|前岡歯科医院では提供していきたいと考えています。

前岡歯科医院の治療の流れ

STEP1

受診の予約

一宮市の歯医者|前岡歯科医院は、患者さんお一人お一人に十分な時間を取って正確な治療を行うため、「完全予約制」となっております。予約をされずに直接来院されても治療をお断りさせていただく場合があります。
受診前には必ずお電話(0586-72-3122)で予約をお取りください。

STEP2

来院・問診票の記入

予約の時間の10分前にお越しください。診察前に問診票を記入していただくことで診療時間を長く確保することができます。
予約の時間に来院できない場合は、予めご連絡をお願い致します。

STEP3

応急処置・ジェネラルオピニオン

受診された際に最も困っている症状、部位に対して応急処置を行います。可能な限り初回の治療時に解決できるよう心がけていますが、場合によっては数回の治療で解決することもあります。
特に緊急を要する対応が必要ない場合は、今のお口の状態になってしまった原因と改善方法について時間をかけてお伝えします(ジェネラルオピニオン)。
*ジェネラルオピニオンについての詳しい説明はこちら

STEP4

資料の採得

困っている箇所が改善したところで、お口全体の写真やレントゲンを撮影し、詳しく診査していきます。
出来る限り初診に近い時期に資料を採ることで、治療を進める中で問題が生じた際にも原因の究明が容易になります。また治療前・治療後の状態を比較して見ていただくためにも、本格的に治療をスタートする前に必要な準備です。

STEP5

診断結果の説明・治療方針の決定

STEP4で採得した資料を基に、今のお口の状態を詳しくお伝えします。
現状を把握していただいた上で、必要な治療や費用、治療にかかる期間について説明します。その際、ご希望を伺いながら大まかな治療方針を決定していくことになります。
ただし、治療方針に関しては、「一度決めてからは変更できない」ということはありません。治療を進める中で、不必要な治療が出てくることもありますし、費用の問題や治療期間の制限が生まれることもあります。
様々な状況に対して臨機応変に対応していきますので、その都度方針はご相談させていただきながら微調整を繰り返していきますので、安心して治療を受けていただけます。

STEP6

具体的な治療

一宮市の歯医者|前岡歯科医院では、「自分の家族に、大切な人に、そして、自分自身が患者になったと仮定して、自信を持って勧められる治療しか提供しない」ことをモットーにしています。
そのため、仮にあなたが希望する治療であったとしても、プロの視点で見た際に将来的なお口の健康にとってデメリットが大きいと判断された場合は、お断りさせていただくことがありますので、ご了承ください。
具体的な治療は最低でも30分以上の治療時間を確保させていただいて、「歯を長期的に残せる精度」を最優先に進めていきます。

STEP7

メインテナンス

一通り治療が終わった後はメインテナンスに移行します。
一宮市の歯医者|前岡歯科医院では、「治療終了=健康なお口のスタート」と考えています。そもそも、歯科治療は病気になる以前の健康なお口の環境に近づけるだけのものです。その健康な状態に近づいたお口を維持していくのは他でもない、あなた自身です。
しかしながら、治療が終わると多くの方は安心してお口のケアが知らず知らずのうちに雑になっていきます。そのため、3〜6ヶ月に1回の受診を通して、日頃のお口のケアの状態、生活環境の変化、体調の変化などをチェックしながら、プロの視点でお口の環境を維持するためのアドバイスを提供していきます。
メインテナンスの最後にはお口のクリーニングも行い、普段から正しく管理されているお口の環境を再確認していただきます。

あなたの大切な歯を
1日でも長く
使っていただくための
初診のご案内

「5分、10分の治療で歯が治る」
と考えるのは、大きな間違いです!
その単純明快な理由とは?

一宮市の歯医者|前岡歯科医院は「完全予約制」です。

急患の初診や予約なしでの受診はお断りさせていただいています。

その理由は、一人ひとりの診察に際して十分な説明と治療時間をかけて行うためです。

歯は一度削ってしまうと二度と元には戻りません。

そんな取り返しのつかない治療を、狭くて暗いお口の中で、5〜10分で終えることは残念ながら不可能です。

もし、あなたが今まで短時間で終わる治療しか受けていないのであれば、必要な手間の多くが省かれた治療になってしまっている可能性があります。

「一生モノ」の歯に対する治療は、時間と手間をかけて精度の高い内容にしなければなりません。

そのため、前岡歯科医院では一人あたり最低でも30分、長ければ2時間の枠を確保して診療しています。

必ず、お電話で予約を取ってから受診をするようお願い致します。

また、1日に診ることが出来る患者さんの数にも限界があります。

他院とは異なり、多くても10人が限界になりますので、必然的に予約がなかなか取れない状況となっています。

受診をご希望の場合は、予定をご確認の上、早めのご予約をお勧めしています。

歯の健康を保つために
最も大切なのは、
“歯医者の治療を受けないこと”

誤解を恐れずにお伝えすれば、歯医者という職業は「患者さんの歯を削れば削るほど儲かる仕事」です。

そして、患者さんの歯をたくさん削ろうを思った時、最も簡単なのは「患者さんが歯の治療を受けなければいけなくなった原因を解決しないこと」です。

「虫歯ができていますね。早速治療をしていきましょう!」

とすぐに歯を削れば良いわけです。

しかし、当然ながら原因が解決していないので、患者さんは次から次に新たに治療を受けなければいけない歯を作って来院し続けることになります。

もちろん、歯医者の治療で歯が元通りになるのであれば、「すぐに歯を削って治療をする」というのは、患者さんのためを想った治療になると思います。

ところが実際に歯医者が行なっているのは、あなたの失われてしまった歯や組織を人工物で補う置換治療が主体です。

「天然の歯」と「人工物と天然の歯が混在している歯」を比べれば、後者の方がトラブルが起こる可能性はぐっと高くなります。

つまり、あなたの歯を少しでも長く使っていく上で真っ先に考えなくてはいけないのは、「いかに歯医者で受ける治療を少なく出来るか」ということなのです。

一宮市の歯医者|前岡歯科医院が提案する、

「ジェネラルオピニオン」
という選択肢

一宮市の歯医者|前岡歯科医院では、初診の方に「ジェネラルオピニオン(総合診断)」の提案をさせていただいています。

ジェネラルオピニオンとは、「セカンドオピニオン」や「歯科ドック(歯の人間ドック)」と全く異なる新たな概念です。

一般的にセカンドオピニオンは、「患者さんの診療内容や診療方針について担当医以外の第三者的な立場の医師に意見を求めること」で、歯科ドックは「定期的にお口の検診を受けることでお口の病気の早期発見・リスク確認を行う」というものです。

これらは“治療内容”や“病気の発見”に焦点が当たっているものですが、残念ながらあなたの歯を長く、大切に使っていく上では、重要度の低いものです。

なぜなら、病気の発見したり、治療を受けること自体がお口の健康を維持してくれるわけではないからです。

「病気を見つけてもらう→どんな治療を受けるか検討する→実際に治療を受ける」

これはほとんどの方が歯医者でたどる過程ですが、ここには「そもそも、なぜあなたが治療を受けなければいけないお口の状態になってしまったのか?」という視点が抜け落ちてしまっています。

原因を探り、根本を改善していくという、健康を手に入れる上で最も重要なポイントが達成されてこそ、あなたが歯医者で治療を受ける意味が生まれるのです。

多くの方は歯医者で定期的に治療を受け、少しずつ歯を失っていく人生を歩んでしまいます。

その根本にあるのは、「歯は治療を受ければ治る」という考え方です。

一宮市の歯医者|前岡歯科医院の価値は、

「原因の診査・診断」にあります

一宮市の歯医者|前岡歯科医院で行うジェネラルオピニオンでは、豊富な経験を基にあなたのお口の中を拝見し、問診で伺ったこれまでの経緯・生活背景から現在の問題点、そして将来的に起こりうるトラブルとその防ぎ方についてお伝えしていきます。

特にお口の病気のほとんどは
偶然起こるものではありません。

明確な原因があって引き起こされる「必然的な結果」がお口のトラブルです。

つまり、原因を解決せずに行う治療は「その場しのぎ」にしかならないということです。

一宮市の歯医者|前岡歯科医院では、時間とお金をかけて治した歯を10年、20年、欲を言えば死ぬまで機能させていくために、「病気の原因を知ること」、そして「原因の取り除き方を学ぶこと」が何より大切だと考えています。

その達成のために、初診時、治療期間中、そしてメインテナンスに移行してからも定期的に病気のリスクの診断とリスクを取り除くためのアドバイスを行っていきます。

「今までは気になる箇所ができたら歯医者に行って、言われるがままに悪いところの治療を受けてきたけど、治療が終わって数年経つとまた問題が起こったり、歯を失っていく生活をしてきた」

そんなあなたには、是非、ジェネララルオピニオンを受けていただきたいと思います。

きっと今まで抱えていたモヤモヤとした疑問が晴れ、長期間に渡って自分の歯をトラブルなく大切に使っていくビジョンが見えてくるはずです。

一宮市の歯医者|前岡歯科医院が考える、

1本の歯の価値とは?

もし仮にあなたの歯が一生病気になることなく、健康に機能するとしたら一体どれほどの価値があると思いますか?

例えば1本の歯を失い、インプラント治療によって歯の機能を取り戻した場合、一般的には30〜40万円の費用がかかります。

インプラントを選択せずに義歯(入れ歯)を入れる治療もありますが、違和感や噛む能力はインプラントと比べて遥かに劣ります。

つまり、歯を失ってしまうと残りの人生において金銭的な負担(高額な治療費)、もしくは精神的な負担(気持ちよく噛めないなどの我慢)を余儀なくされてしまいます。

また、歯を失わなかった場合でも1本の歯に対して長期的に安定するような精度の高い治療(自費治療)を受けようと思った場合、数万〜数十万円の費用がかかります。

実際に私たち歯科医師が歯の治療を受けようと思った場合でも、保険治療は先ず選択しません。

それは保険治療という枠組みの範囲で治療にかけられる時間、コスト、人件費、治療の手間などを現場に立って実感しているからです。

そのため、お口のトラブルを抱える状況になること自体が、治療費の面においても大きなリスクなのです。

さらに、歯はお口という一つの空間の中に存在しています。

インフルエンザにかかった人がいれば、周囲の人に感染が広まっていくように、お口の中においては1本の歯だけが病気になることはほとんどありません。

病気になる条件が揃っていれば、どの歯が失われてもおかしくないのです。

だからこそ、特定の歯の治療を考える以上に、「どうすれば病気にならずに済むのか」を知り、そのための具体的なノウハウを手に入れることに価値があるのです。

ジェネラルオピニオンを受ける前に

一宮市の歯医者|前岡歯科医院では、初診の予約を1時間枠で取らせていただき、具体的な治療の前に初診の段階から

「なぜあなたが歯科治療を必要とする
状況になったのか」

「治療を受ける前にどのようにお口の環境を
コントロールすべきなのか」

を時間をかけてお伝えしています。

医療行為は元々、病気になったカラダに対してのみ行われるものです。

そのため、「まだ病気になっていない歯への対応」、「これから病気にならないための情報提供」は含まれていないのです。

しかし、歯を残す上で治療以上に大切になるのが“病気の原因を知り、その改善方法を学ぶ”という部分です。

貴重な時間とお金をかけて受ける治療をより長期的に安定したものにするためにも、ジュネラルオピニオンは必要不可欠だと考えています。

もちろん、強い症状など緊急を要する場合は、ジェネラルオピニオンに先立って応急処置を初診時に行いますので、受診の際に遠慮なくお伝えください。

また、一宮市の歯医者|前岡歯科医院は完全予約制のため、予約が先まで埋まりやすく、限られた人数しか新患を受け入れることができない現状があります。

“丁寧に、時間をかけて、自分が受けたいと思える治療を提供したい”というビジョンがありますので、

「応急処置だけしてもらえればいい」

「とにかく早く治療を進めて欲しい」

というご希望には残念ながら沿うことができません。

治療自体も「ジェネラルオピニオンを受けた上で、しっかりと自分のお口の状態と向き合いたい」という治療に前向きの方にしか、ご満足いただけない内容となりますのでご注意ください。

受診の予約の前に当院院長が運営するYouTubeチャンネルとブログの記事を掲載しておきますので、事前にご覧いただきますようお願い致します。

例え当院での治療を希望されない場合でも、きっとご自分の歯を長期的に残していく上での手助けになると思いますので、参考にしていただければ幸いです。

【開始後わずか2ヶ月で登録者1万人を突破
院長自身が企画・出演する
YouTubeチャンネル】

歯科医の暴露チャンネル【前岡遼馬】
https://www.youtube.com/@MaeokaDental/videos

【累計360万人が閲覧する歯のブログ
Dentalhacker(デンタルハッカー)の
必読記事】

「歯磨きで虫歯は予防できない!
プロが実践する虫歯予防を全て公開!」

https://maeoka.net/prevention-of-caries/

「歯周病(歯槽膿漏)を本気で治す、
たった一つの治療法とは。」

https://maeoka.net/real-periodontal-therapy/

「歯医者も出来ない!?
本当に正しい歯磨きの仕方を
イラストと写真で徹底解説!」

https://maeoka.net/how-to-brushing/

ご予約はお電話にてお願いします

前岡歯科医院のご予約はこちら

症例

Case1

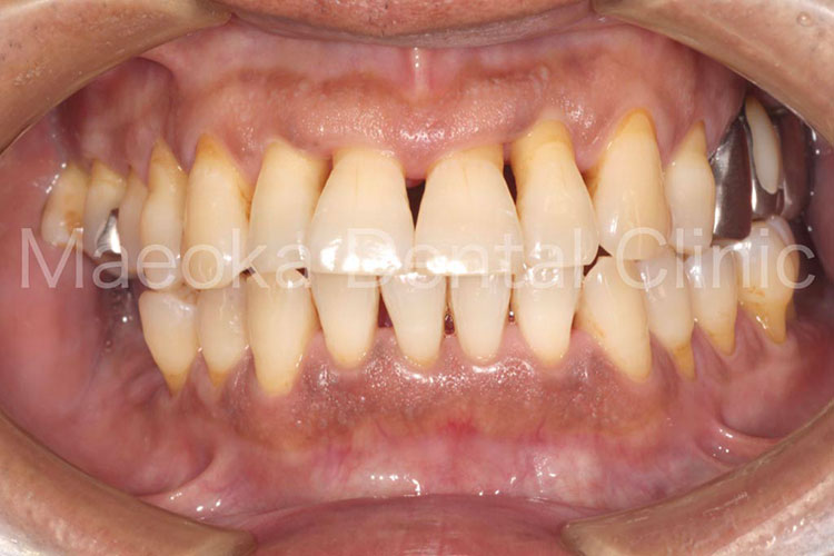
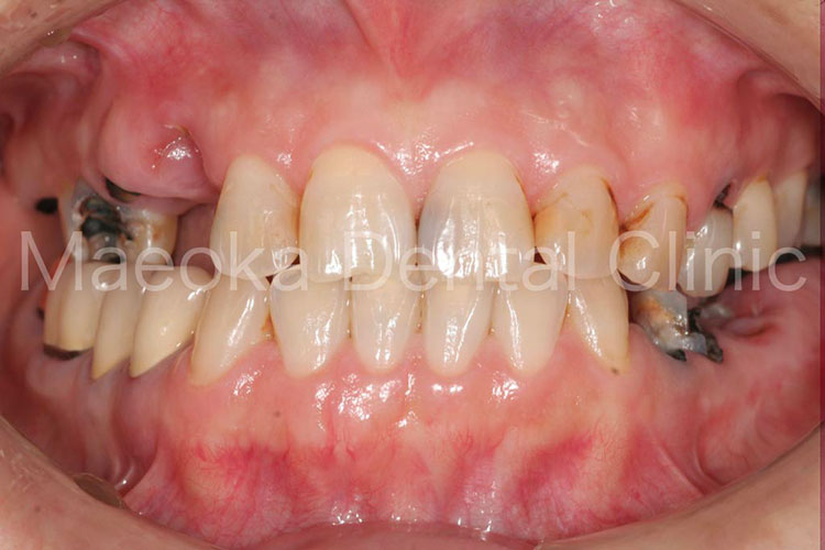
患者さんは49歳女性の方で、「全体的にしっかりと治したい」という主訴で来院されました。
出産を機にお口の環境が悪くなっていったとのことでしたが、勇気が出せずになかなか歯科を受診できなかったそうです。
診査を行うと奥歯の噛み合わせが失われており、審美面、機能面ともに大掛かりな介入が必要な状態でした。

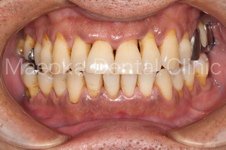
はじめに患者さんから伺った情報を基に、現在の環境になってしまった根本的な原因を模索し、原因除去を行っていきました。その後、歯の移植(右下5を右上3に移植)、部分的な矯正などを行った上で審美的な範囲はセラミックスを用いた被せ物、歯の削除量を最小限にするために見えない箇所は金属を用いた被せ物で最終的な修復を行いました(一部表面的な虫歯は残っていますが、患者さんと相談した上で、今の段階で積極的に削ることは避け、経過観察を行うこととしています)。

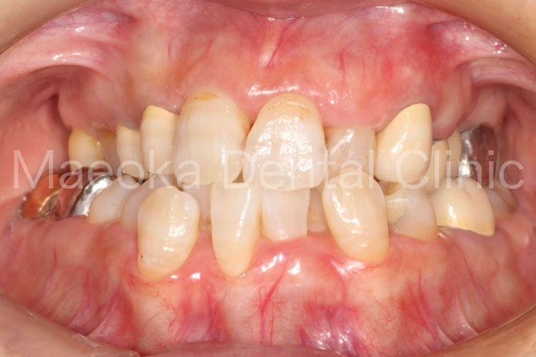
プロビジョナルレストレーション(精密な仮歯)を入れた上で機能上問題ないことを確認するなどチェック期間にも時間を要したため、5年に及ぶ治療期間を要しましたが、残りの患者さんの人生の長さを考えると必要十分な治療であったと考えます。
保存不可能と思われる歯が多数ある中ではありましたが、結果として抜歯に至った歯は3本のみで、インプラントを用いることなく、患者さん自身の歯でお口の環境を再構築することができました。

今後はメインテナンスで治療終了時の環境を長期的に維持できるように努めていきます。

右のボタンをクリックすると表示されます。

治療前(正面)

治療後(正面)

治療前(上顎咬合面)

治療後(上顎咬合面)

治療前(下顎咬合面)

治療後(下顎咬合面)

治療前(右側方面)

治療後(右側方面)

治療前(左側方面)

治療後(左側方面)

治療前(10枚法)

治療後(10枚法)

治療の詳細解説
治療内容
  • メタルセラミックス(10本)
  • ゴールドアンレー(1本)
  • コンポジットレジン修復
  • レジンコア(6本)
  • 歯の移植
  • Extrusion処置
  • 部分矯正
  • 歯肉移植
概算治療費 約250万円
治療期間 約5年
治療に伴う
デメリット
  • 歯を削る必要がある
  • セラミックが欠ける可能性がある
  • 治療期間が長くなる
  • 歯肉の位置が変化する可能性がある
  • 経年的な劣化が生じる
  • 外科的な侵襲が伴う
  • 自費診療(保険適応外)
Case2

患者さんは54歳の女性の方で、「歯茎がすごく腫れているんですが、こんな口の中でも良くなりますか?」という主訴で来院されました。
初診の際には歯肉の腫脹と発赤が強く、右上には大きなサイナストラクト(歯肉にできた膿の出口)がありました。お話を伺うとご両親の介護で疲れ、なかなか自分の口の中までケアができていないということでした。

具体的な治療内容は治療を進める中で決めていくこととなり、先ずは現在のお口の中で一番の問題になっている歯周病の根本的な原因を取り除いていくところから治療をスタートしています。

患者さんの努力によって歯肉の状態が劇的に改善してきたタイミングで、不適切な被せ物をやり直すこととなりました。歯肉よりも上に健全な歯が残っていない箇所はExtrusion処置(歯を引っ張り出す処置)などを併用した上で、メタルセラミックスとゴールドクラウン、コンポジットレジンにて修復治療を終えています。

全体的な歯列不正(歯並びの乱れ)については、特に問題を生じていなかったため、現在のところ介入は不要と判断しています。
治療を通して患者さん自身のお口に対する意識が変わり、食生活も大きく改善されたことで長期的な安定が見込めるお口の環境になりました。

右のボタンをクリックすると表示されます。

治療前(正面)

治療後(正面)

治療前(右側方面)

治療後(右側方面)

治療前(左側方面)

治療後(左側方面)

治療の詳細解説
治療内容
  • メタルセラミックス(4本)
  • ゴールドクラウン(1本)
  • コンポジットレジン修復
  • Extrusion処置
  • 歯髄温存処置
概算治療費 約98万円
治療期間 約2年
治療に伴う
デメリット
  • 歯を削る必要がある
  • セラミックが欠ける可能性がある
  • 治療期間が長くなる
  • 経年的な劣化が生じる
  • 外科的な侵襲が伴う
  • 自費治療(保険適応外)
Case3

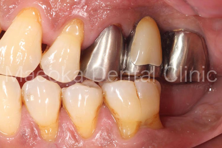
患者さんは54歳の男性の方で、「左下の入れ歯が噛むたびに痛くて違和感があるので診て欲しい。」という主訴で来院されました。
お口の中を拝見すると左下に義歯が装着されている状態で、上顎に偏った欠損が存在していることで左上の歯が噛む度に義歯を歯肉に押し込み、痛みを惹起していました。

患者さんと相談し、先ずは全顎的な歯周病の治療を行って歯肉を健全な状態に戻した上でインプラント治療によって固定式の治療を行うこととしました。
左下には4歯分の欠損があったため4本のインプラントを埋入することも検討しましたが、残っている骨の状態(厚みや高さ)を考慮し、最小限の2本だけ埋入し、被せ物を延長する形で対応しました。

結果として、インプラント治療のコストを抑えつつも清掃性を確保した欠損補綴を行うことができました。
治療の初期に患者さんのプラークコントロールが向上したことで、インプラントの箇所も日々綺麗な状態で管理されています。

右のボタンをクリックすると表示されます。

治療前(正面)

治療後(正面)

治療前(下顎咬合面)

治療後(下顎咬合面)

治療の詳細解説
治療内容
  • インプラント埋入(2本)
  • メタルセラミックス(4本)
概算治療費 約65万円
治療期間 約1年
治療に伴う
デメリット
  • セラミックが欠ける可能性がある
  • インプラント埋入手術が必要
  • 自費診療(保険適応外)
Case4

患者さんは58歳の男性の方で、「右下の歯がグラグラして痛いので診て欲しい」という主訴で来院されました。お口の中を拝見すると重度の歯周病を認めました。1日1箱近い本数の喫煙があったこともあり、歯肉は血行不良を起こして黒っぽい印象がありました。

初診時には歯周病の原因と「どうすれば歯周病は治るのか」、「再発を防ぐためには何が必要なのか」を説明し、歯磨きのトレーニングをスタートしました。その後、患者さんのプラークコントロールレベルが向上したタイミングで歯石を取り、基本治療を終えました。その後、義歯を入れるなどの機能回復も検討しましたが、患者さん自身が不都合を感じていなかった点、レントゲン上でも残存歯の負担が増加している所見が見られなかった点を考慮し、経過観察としています。

主訴の右下7は失うことになってしまいましたが、その他の歯は現在のところ1本も失うことなく経過しています。現在も喫煙はありますが、歯肉は引き締まり、健康な組織を取り戻しています。今後はメインテナンスを通してプラークコントロールレベルの維持に患者さんと取り組んでいきます。

初診時の右下大臼歯部

主訴の右下7は失うことになってしまいましたが、その他の歯は現在のところ1本も失うことなく経過しています。現在も喫煙はありますが、歯肉は引き締まり、健康な組織を取り戻しています。今後はメインテナンスを通してプラークコントロールレベルの維持に患者さんと取り組んでいきます。

右のボタンをクリックすると表示されます。

治療前(正面)

治療後(正面)

治療前(右側方面)

治療後(右側方面)

治療前(左側方面)

治療後(左側方面)

治療の詳細解説
治療内容
  • コンポジットレジン修復
  • 歯周基本治療(保険診療)
概算治療費 約5万円(保険診療分を含む)
治療に伴う
デメリット
  • 経年的な劣化が生じる
Case5

患者さんは39歳男性の方で、「右の前歯の差し歯が取れたので診て欲しい」という主訴で来院されました。お話を伺うと問題の差し歯は前医に通院中、何度も脱落と再着を繰り返していたとのことでした。

差し歯の土台となっている右上2は歯肉上に健全な歯がなく、現在のままでは被せ物を新たに作っても、歯肉にめり込ませるような形でしか入れられない状態でした。
そこで、患者さんと相談した上で右上2に対してExtrusion(歯を引っ張り上げる処置)を行い、歯肉上に健全歯質を確保した上で被せ物をやり直すこととなりました。前歯ということもあり、薄い仮歯を表面に貼り付けることで審美面に配慮しながら治療を進めました。

クラウンレングスニング(歯肉の整形)も行った上で最終的な被せ物をセットして治療を終えています。
現在のところ一度も脱離はなく、良好な経過が得られています。
今後はメインテナンスにて噛み合わせの変化も含めてチェックを行っていきます。

右のボタンをクリックすると表示されます。

治療前(正面)

治療後(正面)

治療前(右上2)

治療後(右上2)

治療中(Extrusion装置)

治療中(歯肉整形後)

治療の詳細解説
治療内容
  • メタルセラミックス(1本)
  • レジンコア(1本)
  • コンポジットレジン修復
  • Extrusion処置
  • クラウンレングスニング(1歯)
概算治療費 約25万円
治療期間 約半年
治療に伴う
デメリット
  • 歯を削る必要がある
  • 治療期間が長くなる
  • 歯肉の位置が変化する可能性がある
  • 経年的な劣化が生じる
  • 外科的な侵襲が伴う
  • 自費診療(保険適応外)
Case6

患者さんは78歳の男性の方で、「右下の奥歯がバキッといって痛みがあるので診て欲しい」という主訴で来院されました。
食事の際に痛みが走ったとのことでしたが、お口の中を確認すると生活歯(神経が抜かれていない歯)の右下6が半分に破折してしまっていました。

通常であれば抜歯が適応となるような状態の歯でしたが、患者さんに時間と費用がかかることに同意していただいた上で保存を試みることになりました。
頬の筋肉が発達した方だったので神経の治療を行うだけでも多くの時間を要し、治療開始から約9ヶ月後にメタルセラミックスの被せ物をセットして治療を終えました。

患者さんは「見た目は気にしないのでせっかく残してもらった歯が長持ちする被せ物にして欲しい」とおっしゃっていたため、咬合面(噛む面)は強い力がかかった際に変形することで力を逃しやすいメタルを選択しています。
治療と並行して歯が割れた原因にもなっていた咀嚼力のコントロールも実践していただいています。
治療終了から約5年が経過していますが、現在のところ目立ったトラブルは生じていません。

右のボタンをクリックすると表示されます。

治療前(咬合面)

治療後(咬合面)

治療前(頬側面)

治療後(頬側面)

治療前(デンタル)

治療後5年経過(デンタル)

治療の詳細解説
治療内容
  • メタルセラミックス(1本)
  • レジンコア
概算治療費 約18万円
治療期間 約9ヶ月
治療に伴う
デメリット
  • 歯を削る必要がある
  • 治療期間が長くなる
  • 自費診療(保険適応外)

治療費一覧(自由診療)

現時点での価格となります

一宮市の歯医者|前岡歯科医院では、患者さんとの信頼関係を大切にしています。そのため、同意なしに治療を進めることは決してありません。
治療にかかる費用についても、患者さんと十分相談した上で計画を立てていきます。
短時間での対応が可能な処置や小さな範囲での治療については保険が適応されます。しかしながら、保険治療は治療にかけられる時間や手間、使える材料に大きな制約があるため、歯の寿命を伸ばすために自由診療を提案させていただく場合が多々あります。
もちろん、その際も事前に時間をかけて説明させていただきますので、納得していただいた上で治療を受けていただけます。
かかる費用や期間などでご不明な点がありましたら、診療の際にお気軽にお尋ねください。

下記に記載しているもの以外にもケースバイケースで様々な治療法や材料がありますので、それぞれのメリット、デメリットについても治療の際に詳しくお伝えします。

治療費用(消費税抜き)

虫歯治療

クラウン除去 5,000円
コア除去 10,000円
カリエス除去 15,000円
隔壁処置 10,000円
歯髄温存処置
(歯の神経を残す処置)
AIPC
(非侵襲性間接覆髄処置)
50,000円
MTA直接覆髄処置 60,000~100,000円
(歯種によって変動)

修復物

被せ物 オールセラミックス
(フルジルコニア)臼歯
170,000円
オールセラミックス
(ジルコニアボンド)前歯
190,000円
メタルセラミックス 170,000円+金属代
ゴールドクラウン 160,000円+金属代
詰め物 セラミックスインレー 150,000円
ゴールドインレー 150,000円
コンポジットレジン 30,000円〜
(充填する部位により変動)
支台築造 レジンコア
(チタンコア・ファイバーコア)
40,000円
プロビジョナルレストレーション(精密な仮歯) 5,000円 / 1本

歯周病治療

歯周基本治療
(重度の歯周病の場合)
400,000円
歯周組織再生療法 120,000円〜
(再生する範囲、部位により変動)

根管治療

精密根管処置 1根管 80,000円
MTA根管充填 1根管 50,000円
パーフォレーションリペア 50,000円〜
(修復範囲により変動)

外科処置

リッジプリザベーション
(抜歯後の骨吸収予防処置)
120,000円 / 一箇所
歯の移植 200,000円 / 1本
歯の再植 150,000円 / 1本
歯肉移植 60,000円〜 / 1手術
(範囲の大きさにより変動)
クラウンレングスニング
(歯冠長延長術)
50,000円 / 1歯

歯の移動

Extrusion処置(歯を引っ張り出す処置) 50,000円 / 1歯
矯正 部分矯正 150,000円〜
インプラントアンカー 30,000円 / 1本
小児矯正(拡大床)上下ペア 100,000円

インプラント関連

インプラント(上部構造含む) 450,000円 / 1本
ガイドを用いた手術 50,000円 / 1手術
骨造成 100,000円〜 / 1歯
ソケットリフト 100,000円 / 1箇所
サイナスリフト 200,000円 / 片側

入れ歯

総義歯 350,000円〜 / 1床
コーヌステレスコープ義歯 内外冠1歯 240,000円
義歯フレームおよび床 400,000円〜
治療用義歯 30,000円 / 1床

医療費控除について

医療費控除とは、1年間(1月1日〜12月31日)の間に支払った医療費が10万円(所得額200万円未満であれば所得金額の5%)を超えた際に「税金が安くなる」という制度です。
一般歯科治療はもちろん、インプラント治療や矯正治療などの自費治療でかかった費用、治療のための通院にかかった交通費(公共交通機関)も医療費控除の対象となります。
税務署への簡単な確定申告でお金が戻ってきますので、治療費用負担軽減のためにも、是非制度をご活用ください。

医療費控除の対象となる費用

  • 自分自身、また自分と生計をともにする家族、その他の親族のために支払った医療費
  • 自家用車のガソリン代や駐車場代を除く、通院にかかった交通費(バス、電車、飛行機等)

対象となる条件

1月1日〜12月31日までの1年間で支払った医療費と交通費の合計が10万円以上になった場合
(所得額200万円未満であれば、所得金額の5%以上になった場合)

控除可能な金額

最高で200万円の所得控除

必要な手続き

医療費控除に関する事項およびその他の必要事項を記載して税務署に確定申告を提出する

必要書類

  • 確定申告書
  • 医療費および交通費の領収書
  • 給与所得の源泉徴収票

詳細につきましては、国税庁のホームページをご確認ください。

医療費控除についてはこちら↓
https://www.nta.go.jp/taxes/shiraberu/taxanswer/shotoku/1120.htm

控除の対象になる歯科治療についてはこちら↓
https://www.nta.go.jp/taxes/shiraberu/taxanswer/shotoku/1128.htm

制度をご活用いただくために治療の際の領収書等は
大切に保管しておいてください

制度をご活用いただくために
治療の際の領収書等は
大切に保管しておいてください

よくあるご質問

ほぼ不可能なのが現状です。

一宮市の歯医者|前岡歯科医院は、患者さんお一人お一人に十分な時間をかけて治療を行うために完全予約制となっています。通院中の皆様はご予約を取られた上で予定を空けて受診されていますので、予めお電話にてご予約をお願いします。

初回は1時間の予約をお取りして原因の解決や応急処置を行います。

初診についての詳しい説明はこちらのページをご覧ください。
2回目以降は治療内容によって異なりますので、次回の予約の際におおよその治療時間はお伝えしています。

決定的に違う点は、「治療にかけられる時間と手間」です。

保険治療は基本的に使う材料や診療報酬に制限があります。特に歯科の場合は医科と比較して保険点数が低いため、“短時間で処置を終わらせざるを得ない”状況になりやすい側面があります。一方で自費治療の場合は、使う材料や診療報酬に保険のような制限はありません。そのため、歯を長期的にトラブルなく使っていただくために必要十分な時間と手間をかけて治療を行うことが可能になります。

詳しい内容は、こちらのブログ記事をご覧ください。

はい、やっています。

虫歯や歯周病の治療をはじめ、親知らずの抜歯なども保険治療の適応となります。
ただし、歯や歯肉の状態によっては、自費治療が必要と判断される場合もあります。その際は事前に説明させていただき、同意をいただけた場合のみ治療を行いますのでご安心ください。

はい、受けられます。

むしろ、症状がない状態で受診していただくことが歯の健康寿命を伸ばすことに繋がります。「痛いところはないけど、将来歯を失いたくないからプロのチェックを受けておこう」という高い意識は、歯を残す上でとても大切です。お電話でのご予約の際に「検診を受けたい」とお伝えいただければ、スムーズに受診していただけます。

はい、可能です。

その際は通常よりも長めの治療枠をお取りして通院回数を少しでも減らせるように対応させていただきますので、お電話の際にお伝えください。
実際に一宮市の歯医者|前岡歯科医院には、西は沖縄、東は東京からも患者さんがいらっしゃっていますので、ご安心ください。

はい、可能です。

保険治療、自費治療を問わず、治療を受ける医院は患者さんご自身に選ぶ権利がありますので、「一度かかった歯医者に通い続けなければいけない」というルールはありません。また、当院での治療も「自分には合わないな」と思った際にはいつでも転院可能です。必要であれば次に受診する医院に向けて紹介状もご用意しますので、お気軽にご相談ください。

お口の病気が原因の口臭は改善が可能です。

口臭と一言に言っても、一部内科的な疾患が原因のものもありますので一概には言えませんが、お口の中に原因がある場合は歯科治療を通して改善していきます。

より詳しい内容は、こちらのブログ記事をご覧ください。

はい、問題ありません。

歯医者が怖くない人の方が圧倒的な少数派ですので、ご安心ください。歯科治療に慣れるまでは応急処置だけにとどめ、積極的な治療を遅らせることも出来ますので、受診の際に遠慮なくご相談ください。

はい、全く問題ありません。

実は、お口のトラブルに関しては「生まれつきの要素」が関与していることはほとんどありません。ほぼ後天的に身に付いた生活習慣が原因になっていますので、治療を通してしっかりと改善していけば健康なお口の環境は取り戻せます。一緒に頑張っていきましょう。

「残せます!」と断言はできませんが、トライする価値のある治療はたくさんあります。

実際に歯を見て、診断しなければ責任を持った発言はできませんが、“保険治療では残せないが、自費治療を併用することで残すことができる歯”が多いことは事実です。抜歯自体は特別な理由がない限り、急いで行わなければいけないものではありません。また、一度失われてしまった歯は二度と元には戻らないので、慎重に判断する必要があります。セカンドオピニオンという形での受診もできますので、ご予約の際にご相談ください。

はい、大丈夫です。

歯周病の治療は一宮市の歯医者|前岡歯科医院で最も力を入れて行っている治療の一つですが、この病気の治す上で大切なことは「患者さん自身が病気の原因を知り、正しくお口の中を管理できるようになること」です。この部分が達成できなければ、いくら歯石を取ってもらったとしても歯周病を克服することはできません。一方で、原因除去さえできてしまえば、どなたでも、何歳からでも治していける病気が歯周病です。もちろん、即日で治ってしまう病気ではないので時間はかかりますが、一歩ずつ一緒に治していきましょう。

歯周病治療の詳しい内容はこちらのブログ記事をご覧ください。

アクセス

愛知県一宮市向山南1-6-1
TEL:0586-72-3122
休診日:木・日・祝日

※ 休診日以外にも勉強会等への出席で臨時休診とさせていただく場合があります。予めご了承ください。

受付時間
9:30〜12:30
14:00〜17:30

完全予約制

当院は完全予約制です。アポイントなしでの受診はお断りさせていただきます。(予約患者さん優先のため)必ず電話にてご予約の上、受診ください。